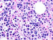
Russell Bodies / Webpathology Com A Collection Of Surgical Pathology Images : Russell bodies are spherical inclusions in plasma cells, sometimes so large that they occupy the entire cytoplasm and compress the nucleus.

Russell Bodies / Webpathology Com A Collection Of Surgical Pathology Images : Russell bodies are spherical inclusions in plasma cells, sometimes so large that they occupy the entire cytoplasm and compress the nucleus.. Russell bodies — globular plasma cell inclusions, mucoprotein in nature, containing surface gamma globulin, and representing aggregates of immunoglobulins synthesized by the cell. Synonyms for russell bodies in free thesaurus. Colorectal mucosa with russell bodies is a reactive inflammatory lesion composed of mature plasma cells, known as mott cells which contain multiple intracytoplasmic eosinophilic globules. Russell body gastritis associated with helicobacter pylori infection: Russell bodies, first described by russell in 1890, are considered to represent aggregates of immunoglobulins resulting from secretory disturbance of plasma cells.

Russell bodies, first described by russell in 1890, are considered to represent aggregates of immunoglobulins resulting from secretory disturbance of plasma cells. George william russell baker russell wayne banks russell bentley eric russell browder earl russell hertzsprung russell diagram hulse russell … The russell body is characteristic of the distended endoplasmic reticulum. (2005) russell bodies and aggresomes represent different types of protein inclusion bodies. They occur frequently in plasma cells in.

Article Fulle Text
Article Fulle Text from www.jcdr.net
Some cells contain multiple russell bodies. Russell bodies — globular plasma cell inclusions, mucoprotein in nature, containing surface gamma globulin, and representing aggregates of immunoglobulins synthesized by the cell. The russell body is characteristic of the distended endoplasmic reticulum. They occur frequently in plasma cells in. Russell bodies and russell body inflammatory polyp in the colorectum: Russell bodies information including symptoms, causes, diseases, symptoms, treatments, and other medical and health issues. The russell body is characteristic of the distended endoplasmic reticulum. Corpuscoli di russell (it) russell body (en).

Colorectal mucosa with russell bodies is a reactive inflammatory lesion composed of mature plasma cells, known as mott cells which contain multiple intracytoplasmic eosinophilic globules.

Russell bodies are inclusion bodies usually found in atypical plasma cells that become known as mott cells. Russell body (plural russell bodies). The russell body is characteristic of the distended endoplasmic reticulum. Russell bodies information including symptoms, causes, diseases, symptoms, treatments, and other medical and health issues. Russell body gastritis associated with helicobacter pylori infection: Russell bodies are spherical inclusions in plasma cells, sometimes so large that they occupy the entire cytoplasm and compress the nucleus. Find out information about russell bodies. Russell bodies are found in plasma cells. (2005) russell bodies and aggresomes represent different types of protein inclusion bodies. Russell bodies and russell body inflammatory polyp in the colorectum: Medical definition of russell bodies. Russell bodies — globular plasma cell inclusions, mucoprotein in nature, containing surface gamma globulin, and representing aggregates of immunoglobulins synthesized by the cell. Structures in nych mott cells.

Find out information about russell bodies. George william russell baker russell wayne banks russell bentley eric russell browder earl russell hertzsprung russell diagram hulse russell … Russell body (plural russell bodies). Russell bodies are found in plasma cells. Small, discrete, variably sized, spherical, intracytoplasmic, acidophilic, hyaline body's that stain deeply with fuchsin;

Multiple Myeloma With Russell Bodies And Needle Shaped Crystalline Inclusions Springerlink
Multiple Myeloma With Russell Bodies And Needle Shaped Crystalline Inclusions Springerlink from media.springernature.com
Russell body gastritis associated with helicobacter pylori infection: George william russell baker russell wayne banks russell bentley eric russell browder earl russell hertzsprung russell diagram hulse russell … Download free russell bodies photos and images from avopix.com. Structures in nych mott cells. Russell bodies are inclusion bodies usually found in atypical plasma cells that become known as mott cells. The russell body is characteristic of the distended endoplasmic reticulum. Russell bodies are spherical inclusions in plasma cells, sometimes so large that they occupy the entire cytoplasm and compress the nucleus. Russell bodies — are eosinophilic, large, homogenous immunoglobulin containing inclusions usually found in a plasma cell undergoing excessive synthesis of immunoglobulin.

Russell body (plural russell bodies).

The russell body is characteristic of the distended endoplasmic reticulum. Russell bodies information including symptoms, causes, diseases, symptoms, treatments, and other medical and health issues. Download free russell bodies photos and images from avopix.com. George william russell baker russell wayne banks russell bentley eric russell browder earl russell hertzsprung russell diagram hulse russell … Russell bodies — globular plasma cell inclusions, mucoprotein in nature, containing surface gamma globulin, and representing aggregates of immunoglobulins synthesized by the cell. Find out information about russell bodies. Russell bodies, first described by russell in 1890, are considered to represent aggregates of immunoglobulins resulting from secretory disturbance of plasma cells. Russell bodies and russell body inflammatory polyp in the colorectum: The russell body is characteristic of the distended endoplasmic reticulum. Russell bodies are inclusion bodies usually found in atypical plasma cells that become known as mott cells. Corpuscoli di russell (it) russell body (en). Small, discrete, variably sized, spherical, intracytoplasmic, acidophilic, hyaline body's that stain deeply with fuchsin; Structures in nych mott cells.

Russell bodies are found in plasma cells. George william russell baker russell wayne banks russell bentley eric russell browder earl russell hertzsprung russell diagram hulse russell … Small, discrete, variably sized, spherical, intracytoplasmic, acidophilic, hyaline body's that stain deeply with fuchsin; Russell bodies and russell body inflammatory polyp in the colorectum: From wikimedia commons, the free media repository.

We Read Mott Cells In Deeksha Sikri Pathodoodles Facebook
We Read Mott Cells In Deeksha Sikri Pathodoodles Facebook from lookaside.fbsbx.com
Corpuscoli di russell (it) russell body (en). Download free russell bodies photos and images from avopix.com. George william russell baker russell wayne banks russell bentley eric russell browder earl russell hertzsprung russell diagram hulse russell … Russell bodies are found in plasma cells. Find out information about russell bodies. Russell bodies — globular plasma cell inclusions, mucoprotein in nature, containing surface gamma globulin, and representing aggregates of immunoglobulins synthesized by the cell. Russell body (plural russell bodies). From wikimedia commons, the free media repository.

Download free russell bodies photos and images from avopix.com.

Free russell bodies photos and images. Russell bodies — are eosinophilic, large, homogenous immunoglobulin containing inclusions usually found in a plasma cell undergoing excessive synthesis of immunoglobulin. Find out information about russell bodies. Russell bodies — globular plasma cell inclusions, mucoprotein in nature, containing surface gamma globulin, and representing aggregates of immunoglobulins synthesized by the cell. Russell bodies, first described by russell in 1890, are considered to represent aggregates of immunoglobulins resulting from secretory disturbance of plasma cells. Corpuscoli di russell (it) russell body (en). Russell bodies are found in plasma cells. Small, discrete, variably sized, spherical, intracytoplasmic, acidophilic, hyaline body's that stain deeply with fuchsin; They occur frequently in plasma cells in. The russell body is characteristic of the distended endoplasmic reticulum. Synonyms for russell bodies in free thesaurus. Russell body gastritis associated with helicobacter pylori infection: George william russell baker russell wayne banks russell bentley eric russell browder earl russell hertzsprung russell diagram hulse russell …

Synonyms for russell bodies in free thesaurus russell. Colorectal mucosa with russell bodies is a reactive inflammatory lesion composed of mature plasma cells, known as mott cells which contain multiple intracytoplasmic eosinophilic globules.

Posting Komentar

0 Komentar